UDHC case records (A)
Friday, October 30, 2015
A 54 years old man with intermittent cough with expectoration and shortness of breath since childhood
AGERATUM736CONYZOIDES02
A 54 years old man with intermittent cough with expectoration and shortness of breath since childhood
(Old treatment & drug history)
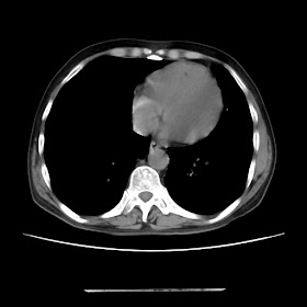
A 54 years old man with intermittent cough with expectoration and shortness of breath since childhood (Radiology)
AGERATUM736CONYZOIDES02
A 54 years old man with intermittent cough with expectoration and shortness of breath since childhood
Radiological images:
‹
›
Home
View web version