This is a HIPAA de-identified open-online-patient-record with initial information in duty-doctors notes as well as patient's voice, posted here early winter 2015 after collecting informed patient consent (form downloadable here) by LNMCH research assistant and patient-information-communication-executive for a discussion initiated by patient's primary care physician in-charge:
ID: TAGETES462ERECTA
Last admission Duty Doctor notes:
Dr Arun Chaudhary:
ID: TAGETES462ERECTA
Last admission Duty Doctor notes:
Dr Arun Chaudhary:
Age/sex- 45/male
Occupation- labour patient
Add- ....
Occupation- labour patient
Add- ....
Present complain- breathlessness ..weakness of body and cough with expectoration since 1 month ago ...fever when body pain n felling of weakness everytime ..patient fatigue on a least exertion
..
Tongue- white coated
Apetetite- normal ..ok
Thrist - excessive thirst in fever
Skin- normal
Stool- normal now ..but bleeding before few days bcozz of mdcns ..
Urine- Yellowish
Gait- OK
Smoke - bidi since 30 years ..n left before 1 month ..
Patient takes liquor occasionally before 5-6 years ..now left ..
Temperature- 100.6°F
Spo2 - 95%
Pulse- 107/min
BP- 110/70mg/hg
RR- 21/min
..
Tongue- white coated
Apetetite- normal ..ok
Thrist - excessive thirst in fever
Skin- normal
Stool- normal now ..but bleeding before few days bcozz of mdcns ..
Urine- Yellowish
Gait- OK
Smoke - bidi since 30 years ..n left before 1 month ..
Patient takes liquor occasionally before 5-6 years ..now left ..
Temperature- 100.6°F
Spo2 - 95%
Pulse- 107/min
BP- 110/70mg/hg
RR- 21/min
Past complain- before 1 year patient have chest pain bcozz of heavy weight lifting ..n then patient take desi treatment and get well in 2 months and till now the chest pain is aggravated in winter time or riding on two wheeler vehicle ..before 4.5 years ago patient have the abcess of injection at his left hip and operated in hospital and get well in 25 days ..since before 1 month patient have severe breathlessness and weakness and easily fatigue on lest exertion and right side chest pain and fever with weakness every time ..
Investigation- ECG , LFT/RFT ..prothrombin time is done ..
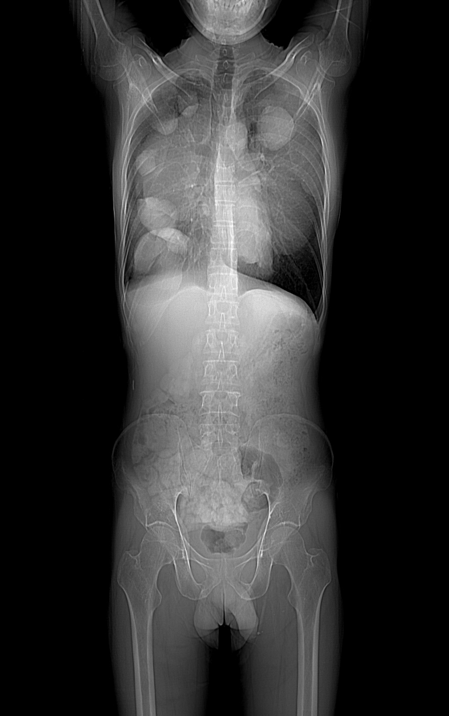
Adv- for- chest x ray ...sputum AFB ..sputum for cytology malignant cell..
USG(Abdomen)... CECT chest
Adv- for- chest x ray ...sputum AFB ..sputum for cytology malignant cell..
USG(Abdomen)... CECT chest
Treatment- inj. Effcolion /6 hourly
Tab. Albendazole - 400 mg OD
Nebulization with asthalin
Tab- PCM 500 mg TDS
Tab. Albendazole - 400 mg OD
Nebulization with asthalin
Tab- PCM 500 mg TDS
Past investigations (before current admission) with images of previous treatment notes
Old X Ray images
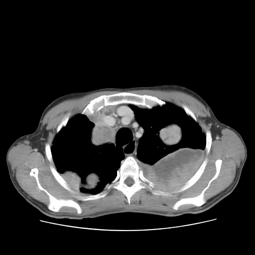
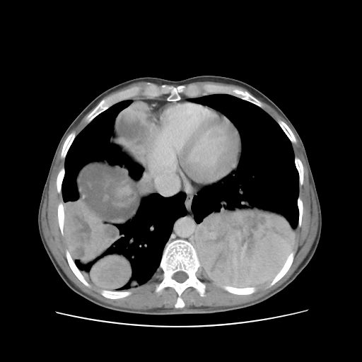
HRCT was done on 22 feb 2016

































































































































































