UDHC case records (A)

Wednesday, August 24, 2016

A 48 years old man with eyes problem











udhc hindi blogs at 4:01 AM No comments:
Share

Thursday, July 7, 2016

blumea486balsamifera02

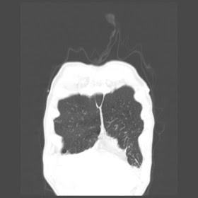
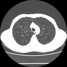
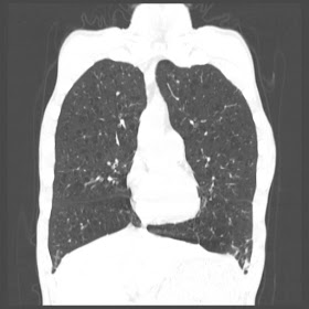
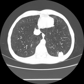
A 52 Years old man suffering with chest pain since 3 years

For seen patient record file please click here

HRCT Chest













































































































































































































































































































































































































































































































































































































































udhc hindi blogs at 11:50 PM No comments:
Share
‹
›
Home
View web version
Powered by Blogger.