Wednesday, October 28, 2015

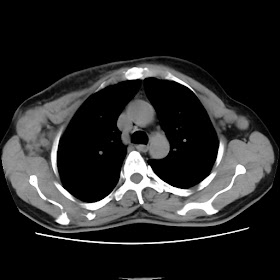
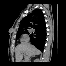
A 62 years old man with enlarged mole on chest since 2 months. 

_____________________________________

X-ray images:-

CT chest :-







































































































































































































































































































































































































































































































































































































No comments:

Post a Comment