A
39 years old man with chronic alcoholic since 17 years.
This is a HIPAA de-identified open-online-patient-record, posted on autumn 2015 after collecting informed patient consent (form downloadable here ) by LNMCH research assistant and patient-information-communication-executive and discussion initiated by patient's primary care physician in-charge:
Conversational clinical decision support from online learning forum:
& cough with cold & dark colour stool.
Now feeling weakness & dimness of vision.
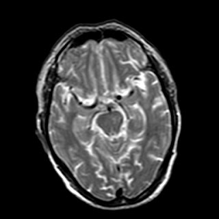
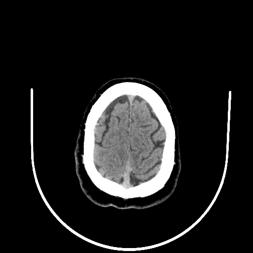
O/E images:
Now feeling weakness & dimness of vision.
O/E images:




























































































































































































































































































































































































































