Saturday, November 14, 2015

A 7 years old child with intermittent left lumbar abdominal pain

This is a HIPAA de-identified open-online-patient-record, posted on autumn 2015 after collecting informed patient consent (form downloadable here ) by LNMCH research assistant and patient-information-communication-executive


Online forum discussion has been initiated and added later by patient's primary care physician in-charge:




A 07 years old child with left side of abdomen pain

Below are the images of doctor notes and patient radiology and investigations uploaded in autumn 2015 by LNMCH research assistant and patient-information-communication-executive: 

USG done on 13NOV15:





Old drug & Treatment images:















X-Ray's images:












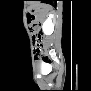
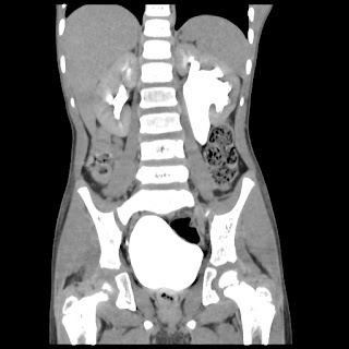
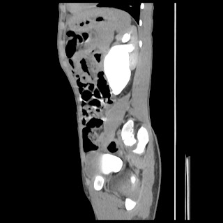
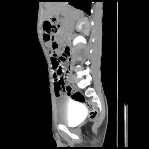
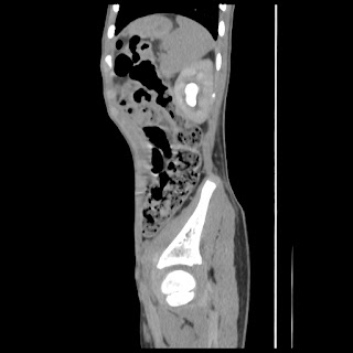
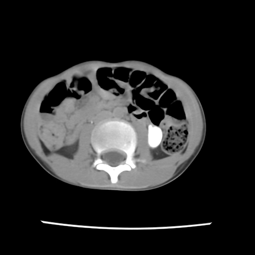
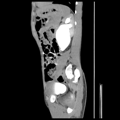
current CT images:


























































































































































































































No comments:

Post a Comment