This is a HIPAA de-identified open-online-patient-record with initial information in duty-doctors notes as well as patient's voice, posted here early winter 2015 after collecting informed patient consent (form downloadable here ) by LNMCH research assistant and patient-information-communication-executive for a discussion initiated by patient's primary care physician in-charge:
Doctor's notes & treatment history:
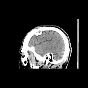
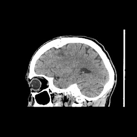
Investigation images:
Radiologycal images :


































































































































































No comments:
Post a Comment