UDHC case records (A)

Tuesday, December 22, 2015

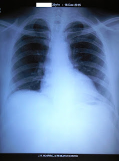
A 39 years old man with CAD










Posted by udhc hindi blogs at 10:59 PM
Email ThisBlogThis!Share to XShare to FacebookShare to Pinterest

No comments:

Post a Comment

Newer Post Older Post Home
Subscribe to: Post Comments (Atom)

Blog Archive

  • ►  2016 (33)
    • ►  August (1)
    • ►  July (1)
    • ►  May (2)
    • ►  April (3)
    • ►  March (3)
    • ►  February (7)
    • ►  January (16)
  • ▼  2015 (40)
    • ▼  December (15)
      • A 40 years old man with NF1
      • A 55 years old man with
      • A 26 years old man with sudden closure of left eye...
      • A 45 years old man with DM- type 2 since 1 year an...
      • A 32 years old man wtih DM-2 since 3 years ...
      • A 39 years old man with CAD
      • A 40 years old man with electric current like pain...
      • A 37 years old man with Alcoholism and liver cirrh...
      • A 48 years old man with GAD & Alcoholism
      • A 37 years old man with troublesome abdominal move...
      • A 58 years old man with reduced perspiration and c...
      • A 40 years old man with reduced libido and abdomin...
      • A 70 years old man with weakness & fatique since 3...
      • A 62 years old man with Eczema since 10 years
      • A 40 years old man with abdominal pain since 3 yea...
    • ►  November (7)
    • ►  October (18)
Simple theme. Powered by Blogger.