This is a HIPAA de-identified open-online-patient-record with initial information in patient's voice, posted here early winter 2015 after collecting informed patient consent (form downloadable here ) by LNMCH research assistant and patient-information-communication-executive for a discussion initiated by patient's primary care physician in-charge:
Doctor's notes & treatment:
Investigation images:
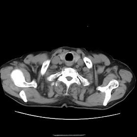
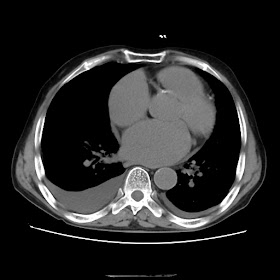
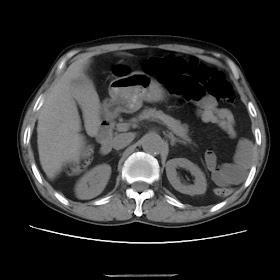
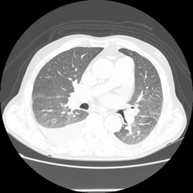
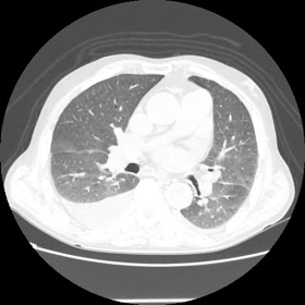
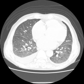
Radiological images:







































































































































































































































































































































No comments:
Post a Comment