Breathlessness
Chest pain X 10 months
abdominal pain
As per the patient : he was completely alright 10 months back. then he's complaint of breathlessness & chest pain.
O/E images:
Old tratment & drug history
Discharge card & Investigation images:
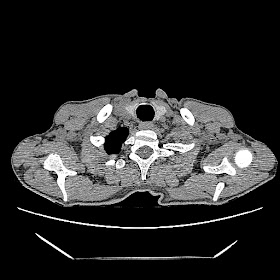
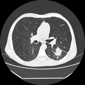
Latest HRCT images:
new discharge card summary & CT scan report image:


















































No comments:
Post a Comment