UDHC case records (A)
Tuesday, February 2, 2016
A 66 years old man with bony deformities since childhood
Patient history taken by Dr. Arjun (physiotherapist)
Patient on-examination images taken by Kuldeep(PICM):
Treatment notes:
Latest X-Ray's images: done on witer season ending:
New radiological investigations images:
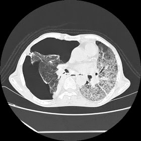
New HRCT images:
No comments:
Post a Comment
‹
›
Home
View web version
No comments:
Post a Comment