UDHC case records (A)
Friday, October 30, 2015
A 54 years old man with intermittent cough with expectoration and shortness of breath since childhood
AGERATUM736CONYZOIDES02
A 54 years old man with intermittent cough with expectoration and shortness of breath since childhood
(Old treatment & drug history)
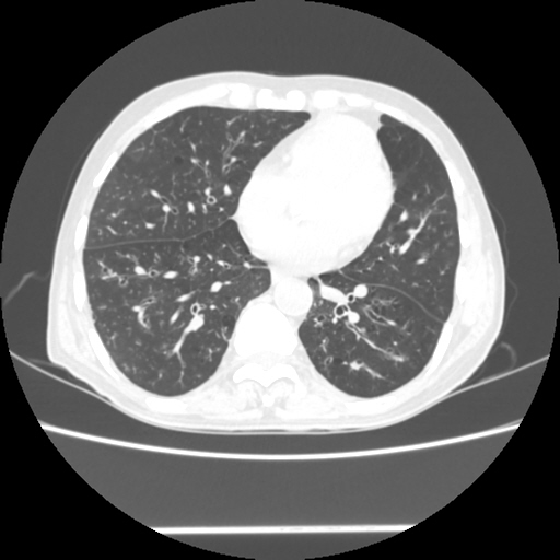
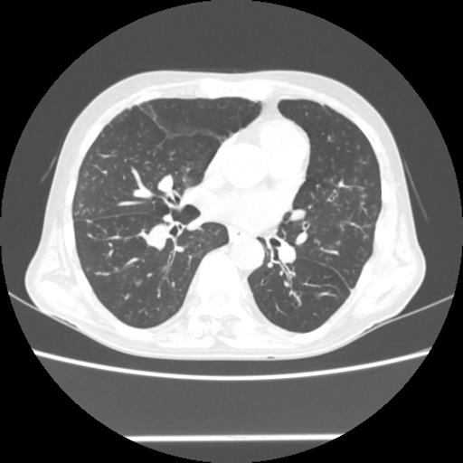
A 54 years old man with intermittent cough with expectoration and shortness of breath since childhood (Radiology)
AGERATUM736CONYZOIDES02
A 54 years old man with intermittent cough with expectoration and shortness of breath since childhood
Radiological images:
Newer Posts
Older Posts
Home
Subscribe to:
Comments (Atom)