A 17 years young boy with inlargement of hands & foots since 2.5 years
x-ray images:
MRI of brain images:
CT scan of brain images:
Repeat radiological images:
This patient new investigation IGF-I is done! on 9NOV15. Investigation report images is:
New MRI done on today 19Nov15:
new on examination image
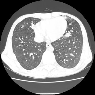
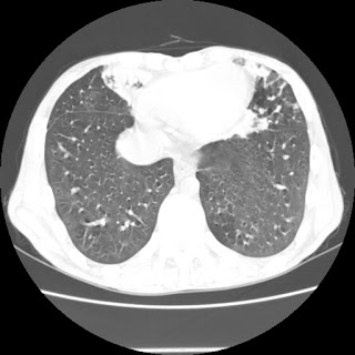
new investigation images:
new investigation letter images
ncct investigation image















































































































































































































































































































































































































































































































































































































No comments:
Post a Comment