UDHC case records (A)

Wednesday, October 28, 2015

A 62 years old man with enlarged mole on chest since 2 months. 

_____________________________________

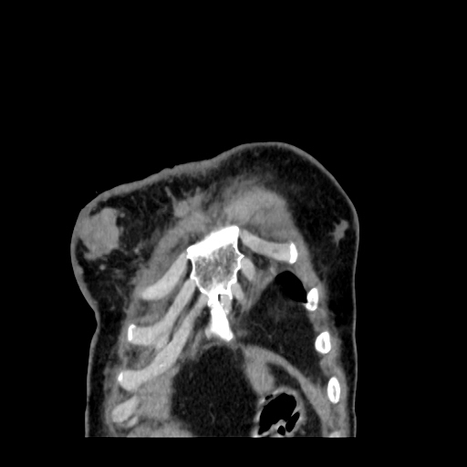
X-ray images:-

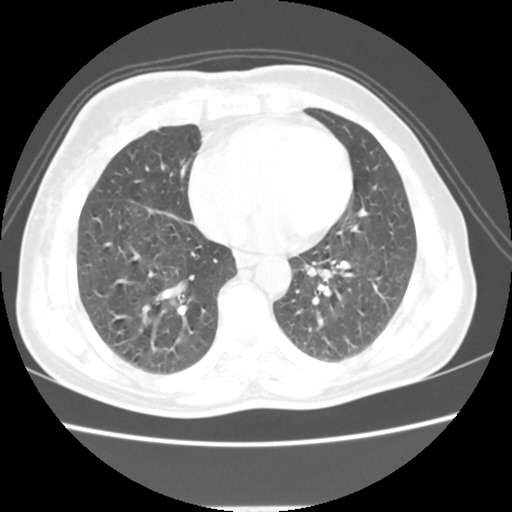
CT chest :-







































































































































































































































































































































































































































































































































































































Posted by udhc hindi blogs at 11:03 PM
Email ThisBlogThis!Share to XShare to FacebookShare to Pinterest

No comments:

Post a Comment

Newer Post Older Post Home
Subscribe to: Post Comments (Atom)

Blog Archive

  • ►  2016 (33)
    • ►  August (1)
    • ►  July (1)
    • ►  May (2)
    • ►  April (3)
    • ►  March (3)
    • ►  February (7)
    • ►  January (16)
  • ▼  2015 (40)
    • ►  December (15)
    • ►  November (7)
    • ▼  October (18)
      • A 54 years old man with intermittent cough with ex...
      • A 54 years old man with intermittent cough with ex...
      • A 62 years old man with enlarged mole on chest s...
      • A 47 years old man with ......
      • A 40 years old man with Fever, bodyache, headach...
      • A 28 years old man with shoulder joint & pain pr...
      • A 17 years young boy with inlargement of hands &...
      • A 70 years old man with weakness in upper limb ...
      • A 49  years old man with breathlessness during w...
      • A 52 years old man with high grade fever & heada...
      • A 70 years old man with chest pain, weakness, gh...
      • A 28 years old man with chest pain, Headahce, Br...
      • A 32 years old man with chest pain & ghabrah...
      • A 55 years old man with DM, fever, cough problem...
      • A 34 years old man with headache since 3 month ...
      • A 30 years old man with fever with chills pat...
      • A 35 years old man suffering with sickle cell pr...
Simple theme. Powered by Blogger.